ORTODONCIA INVISIBLE
ÚLTIMA TÉCNICA DE ORTODONCIA INVISIBLE
¿QUÉ ES ORTODONCIA INVISIBLE?
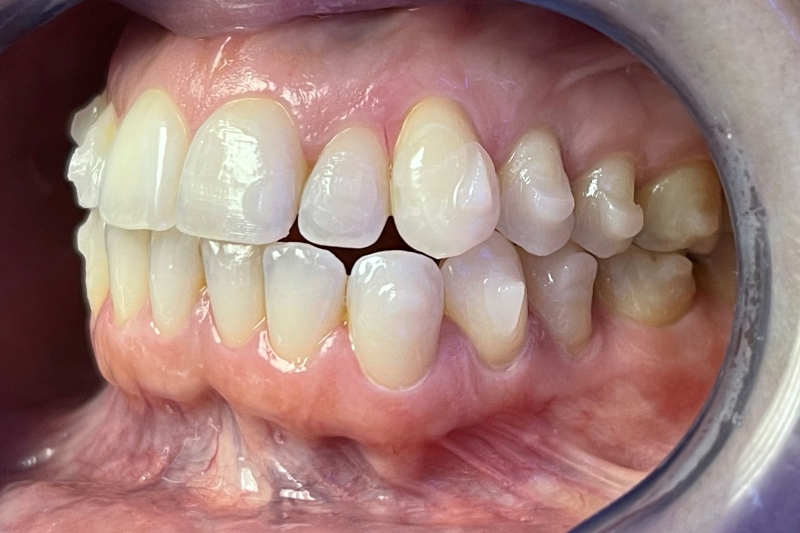
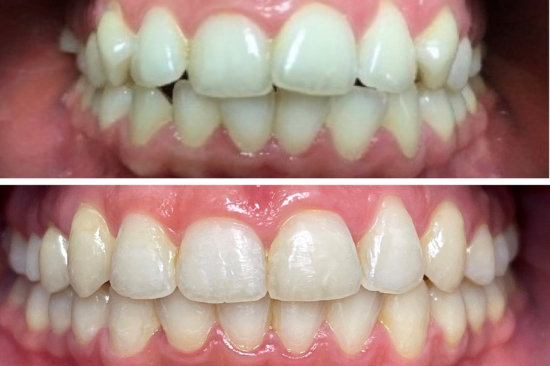
Es una técnica de ortodoncia invisible que permite corregir la posición de los dientes con el objetivo de conseguir la sonrisa deseada.
Esta técnica consiste en la colocación de unos alineadores de plástico transparentes hechos a medida que van provocando el movimiento de los dientes hasta conseguir la alineación y oclusión pretendida.
Los alineadores están fabricados con un material plástico suave y cómodo que no provoca molestias. Se cambian semanalmente por unos nuevos ligeramente diferentes a los anteriores para lograr el movimiento buscado de forma progresiva.
Es un método de ortodoncia no invasivo con el que se consiguen los objetivos de alineación y oclusión de una forma rápida y segura.


¿QUE VENTAJAS TIENE?
Una de las principales ventajas es la estética, ya que permite lograr la alineación dental de una forma prácticamente invisible.
Los alineadores ofrecen ventajas frente a la aparatología fija en términos de higiene y calidad de vida. Al ser removibles permiten comer cualquier tipo de alimento y obtener un cepillado y una higiene excelente.
El estudio digitalizado nos permite mostrar en un vídeo al paciente cómo va a quedar su sonrisa antes de comenzar con el tratamiento.
MÁS SOBRE ORTODONCIA INVISIBLE EN
MARFIL DEN
En la clínica dental Marfil Den llevamos varios años realizando tratamientos de ortodoncia invisible. Los resultados obtenidos con esta técnica de ortodoncia aportan gran satisfacción a los pacientes que han sido tratados con ella. Aunque existen muchas opciones de alineadores en el mercado, ningún tratamiento es tan cómodo y eficaz.
Realizamos un estudio digital personalizado de cada caso. Planificamos las diferentes alternativas de tratamiento posibles para cada paciente y mediante un vídeo podemos mostrar una simulación de los movimientos a realizar y enseñarle cómo va a quedar su sonrisa antes de comenzar con el tratamiento.


Exploración y toma de registros
Realizamos la exploración y toma de registros del paciente. Tomamos impresiones, fotografías y radiografías para realizar un correcto estudio y una buena selección del caso.

Diagnóstico y plan de tratamiento
Realizamos un diagnóstico y plan de tratamiento virtual mediante el software Clincheck 6.0. Con esta herramienta mostramos al paciente los movimientos a realizar y el resultado final de su tratamiento.

Fabricación de alineadores
La secuencia completa de los alineadores necesarios para el tratamiento es confeccionada a través de impresoras 3D y llegará a la clínica dental en 2-3 semanas aproximadamente.

Colocación de ataches
El paciente acude periódicamente a consultas para una correcta revisión y seguimiento de la evolución de su tratamiento y le entregamos los siguientes alineadores para poder continuar con la ortodoncia.

Revisión y seguimiento
Realizamos la exploración y toma de registros del paciente. Tomamos impresiones, fotografías y radiografías para realizar un correcto estudio y una buena selección del caso.

Finalización y retención
Una vez finalizado el tratamiento procedemos a retirar los ataches y colocamos de un aparato de retención para mantener la posición dental obtenida y evitar una posible recidiva.
CUBRIMOS TODAS SUS NECESIDADES
Ofrecemos un tratamiento global y personalizado
Marfil Den fue la primera clínica dental en Bilbao en ofrecer una Odontología integral, es decir, ejercer todas las especialidades de la odontología en un único centro, con un equipo de dentistas que realizan los más novedosos y mejores tratamientos odontológicos.
Comprometidos con ello, los profesionales de Marfil Den realizamos sesiones clínicas semanales donde se exponen, se debaten y se diagnostican los casos clínicos más complejos con objeto de asumir la garantía y responsabilidad de nuestros tratamientos.

Experiencia
Nuestra experiencia durante más de treinta años es nuestro valor más preciado que nos hace ser la clínica dental líder en Bilbao.

1ª Consulta Gratuita
Ofrecemos una primera consulta dental totalmente gratuita, con un servicio personalizado.

Precios Asequibles
Porque no siempre la excelencia va ligada a precios caros, es por eso que ofrecemos una odontología de la más alta calidad a precios asequibles.

Garantía
Nuestros profesionales dentistas trabajan diariamente con las últimas tecnologías dentales y tratamientos odontológicos, por eso confiamos en la calidad y durabilidad de nuestro trabajo.

Tecnología
Contamos con la más avanzada tecnología en odontología, reduciendo los tiempos de intervención y ofreciendo una mayor seguridad en nuestros diagnósticos.
BLOG
TRATAMIENTOS DE ODONTOLOGIA, RECOMENDACIONES Y NOTICIAS
Que es un tratamiento de ortodoncia invisible
Para comenzar un tratamiento ortodoncia invisible, como para cualquier tratamiento de ortodoncia convencional, lo primero que se debe hacer es un estudio para determinar qué problema se ha de corregir. Para ello en una primera visita [...]
¿Cómo limpiar mis alineadores de ortodoncia invisible?
El tratamiento de ortodoncia invisible es una forma prácticamente invisible de alinear los dientes. Los alineadores están hechos de un material termoplástico transparente y flexible que hace que su uso sea muy cómodo y casi imperceptible. Es [...]
¿Qué puedo beber durante un tratamiento de ortodoncia invisible?
Es recomendable quitarse los alineadores para protegerlos y proteger la salud oral si vamos a tomar alguna bebida que no sea agua de mar. Si has decidido colocarte un tratamiento de ortodoncia invisible debes tener en cuenta [...]
SUSCRÍBASE A NOTICIAS, OFERTAS Y PROMOCIONES



